Smile Gallery

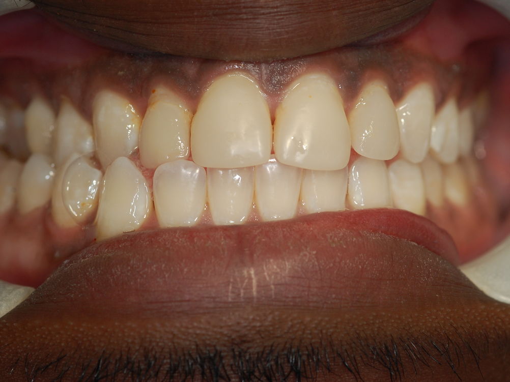
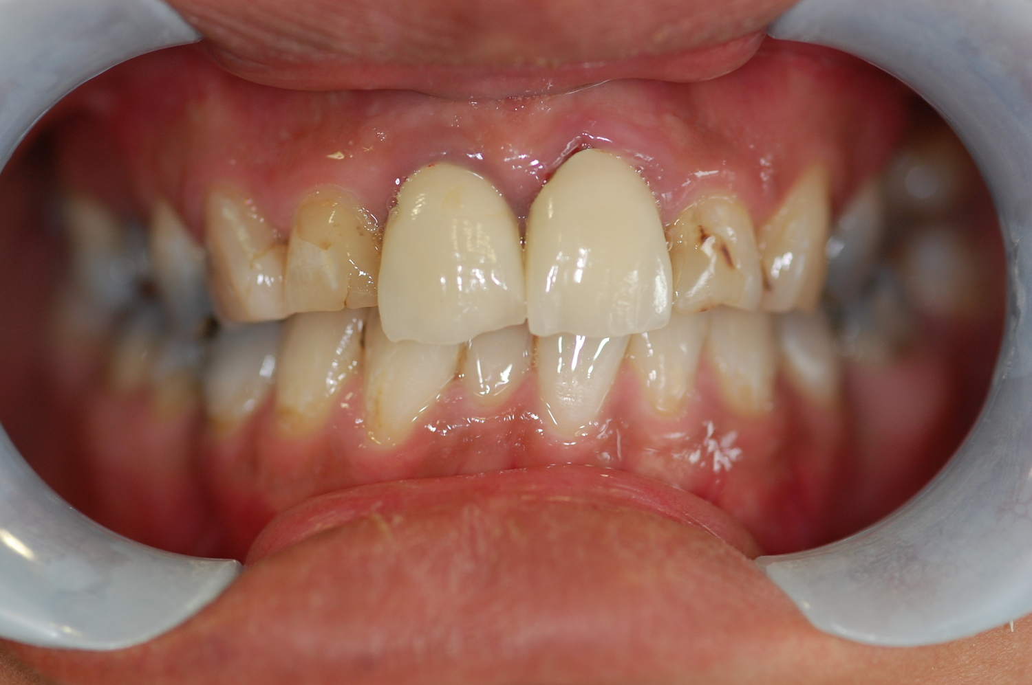
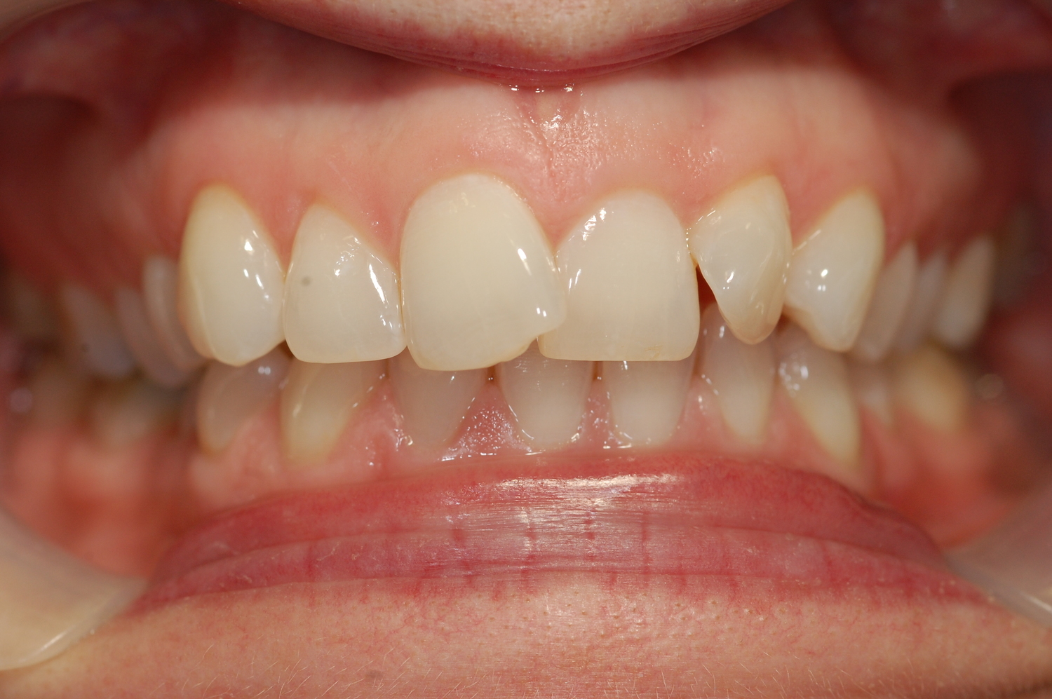
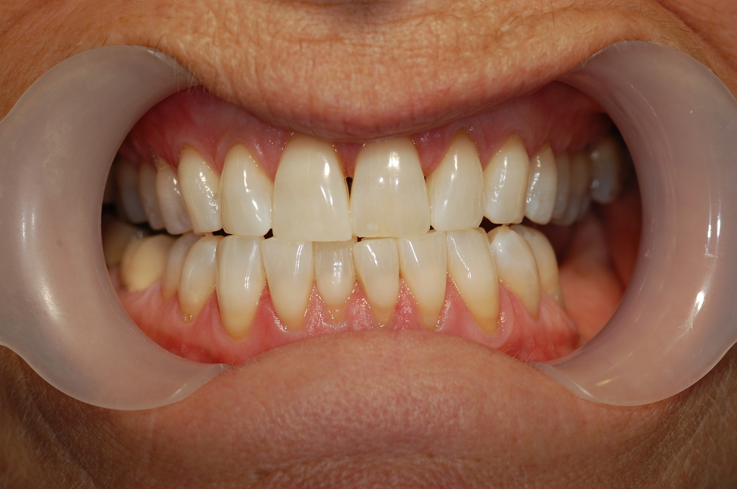
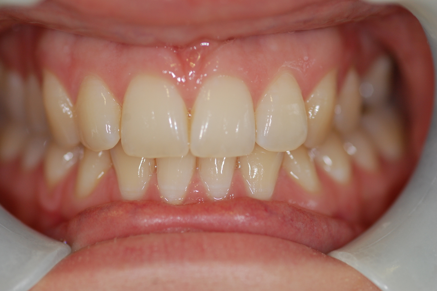
Mrs C - This lady presented with anterior restorations that has chipped and worn away as a result of her grinding her teeth at night. She had her teeth whitened with Enlighten and then replacement composites and finally a combination of new crowns and veneers. To protect all the work, she now wears a nightguard.

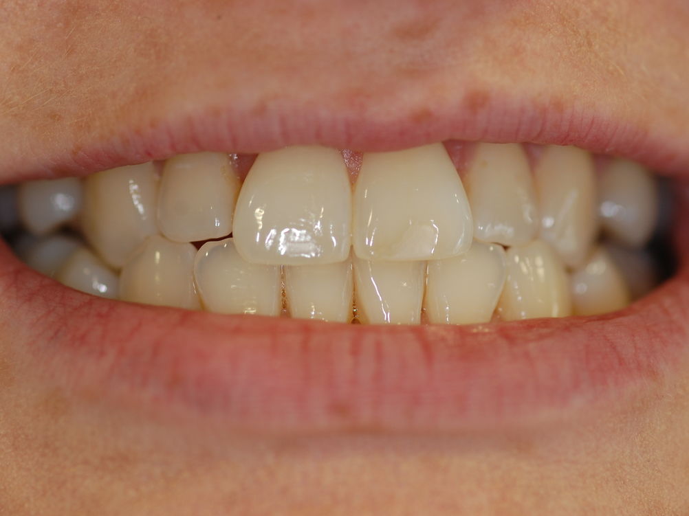
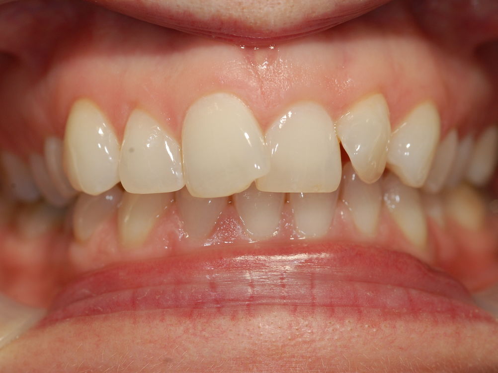
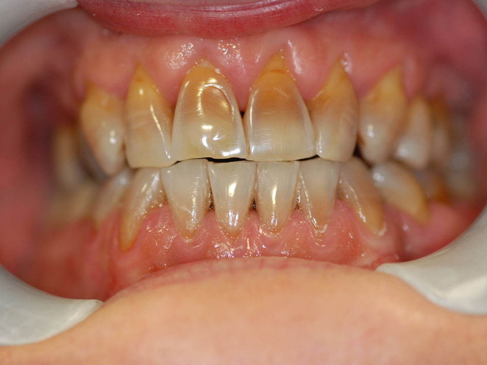
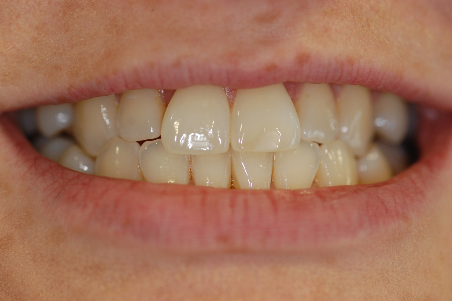
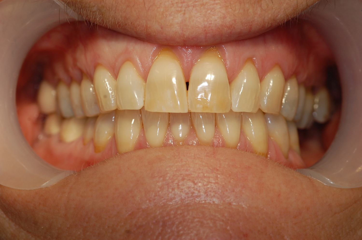
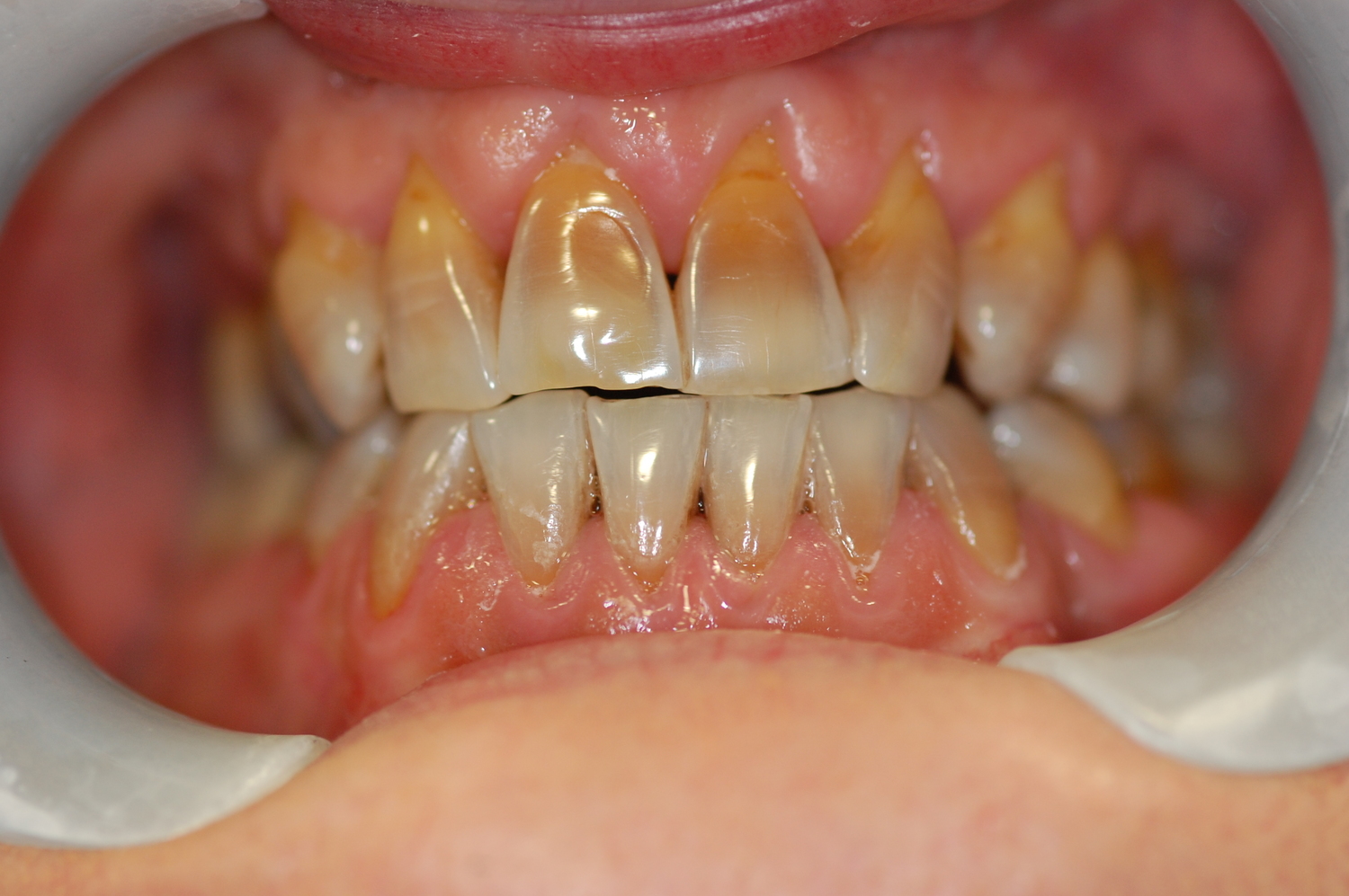
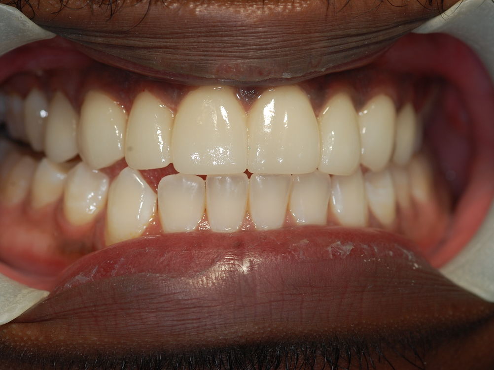
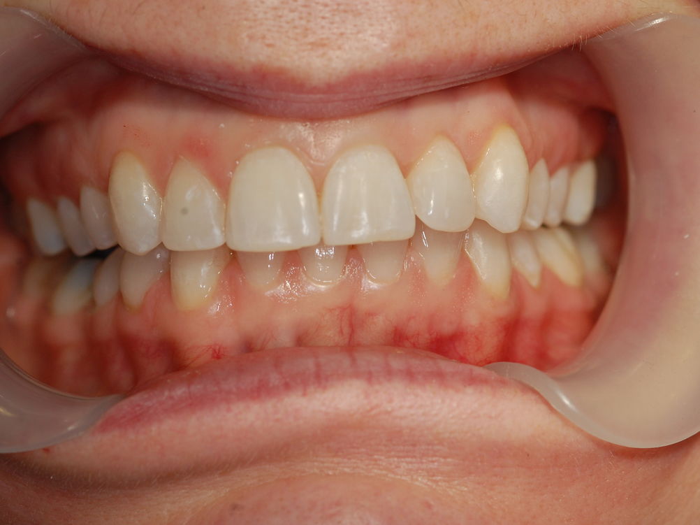
Mr H - This gentleman was concerned about the colour of his teeth and requested an improvement to his appearance. his transformation came about again with a combination of Enlighten tooth whitening, enamel bonding, replacement composites and anterior crowns.

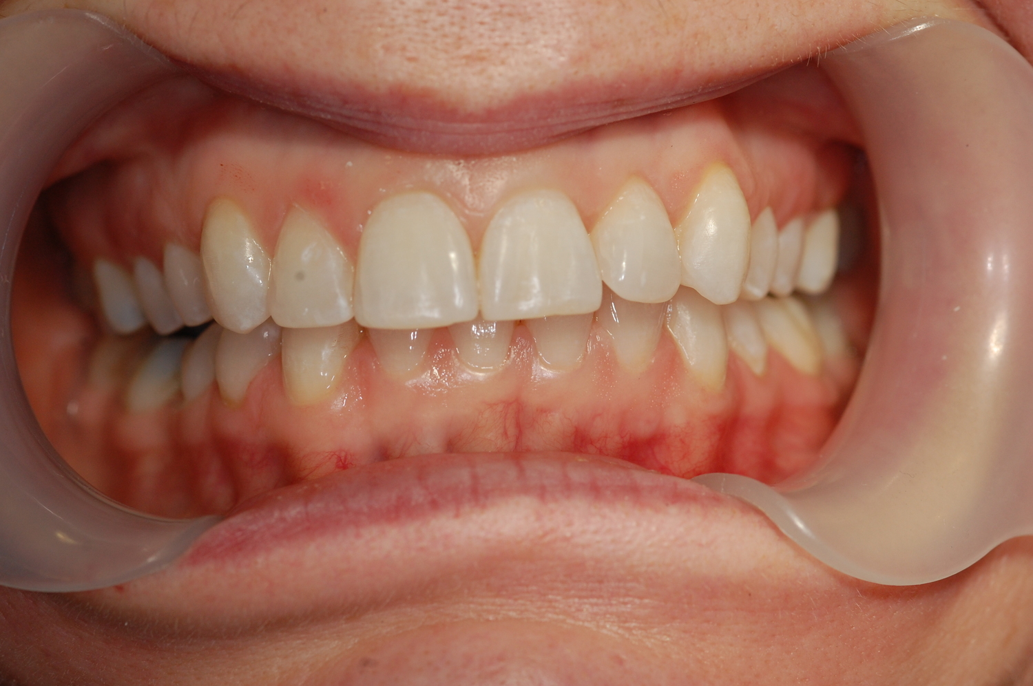
Miss K - This lady was so concerned about the positioning of her teeth that she refused to let anyone take her photograph. With the help of Invisalign we were able to move the teeth into a better position. then after some enamel bonding , adjustments and Enlighten tooth whitening we managed to achieve a fantastic result. a year later she got married with photos taken!

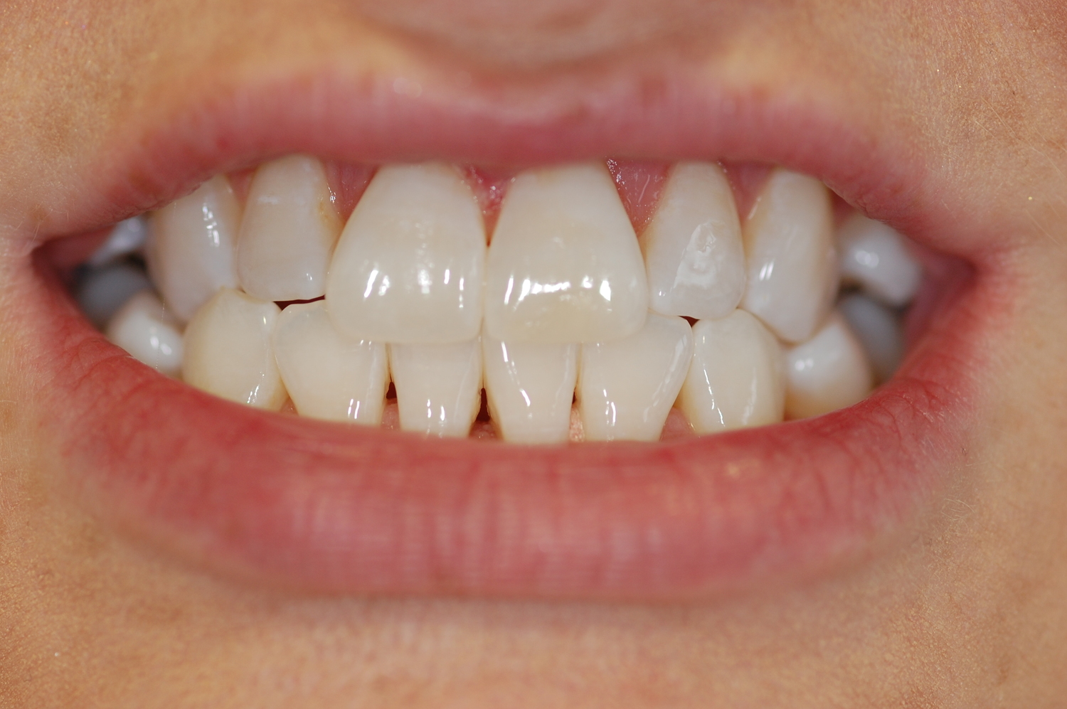
Mrs B - In the space of 8 months Invisalign was able move these anterior teeth into a much better position. This is always more rewarding for older patients who have lived with malaligned teeth for many years.

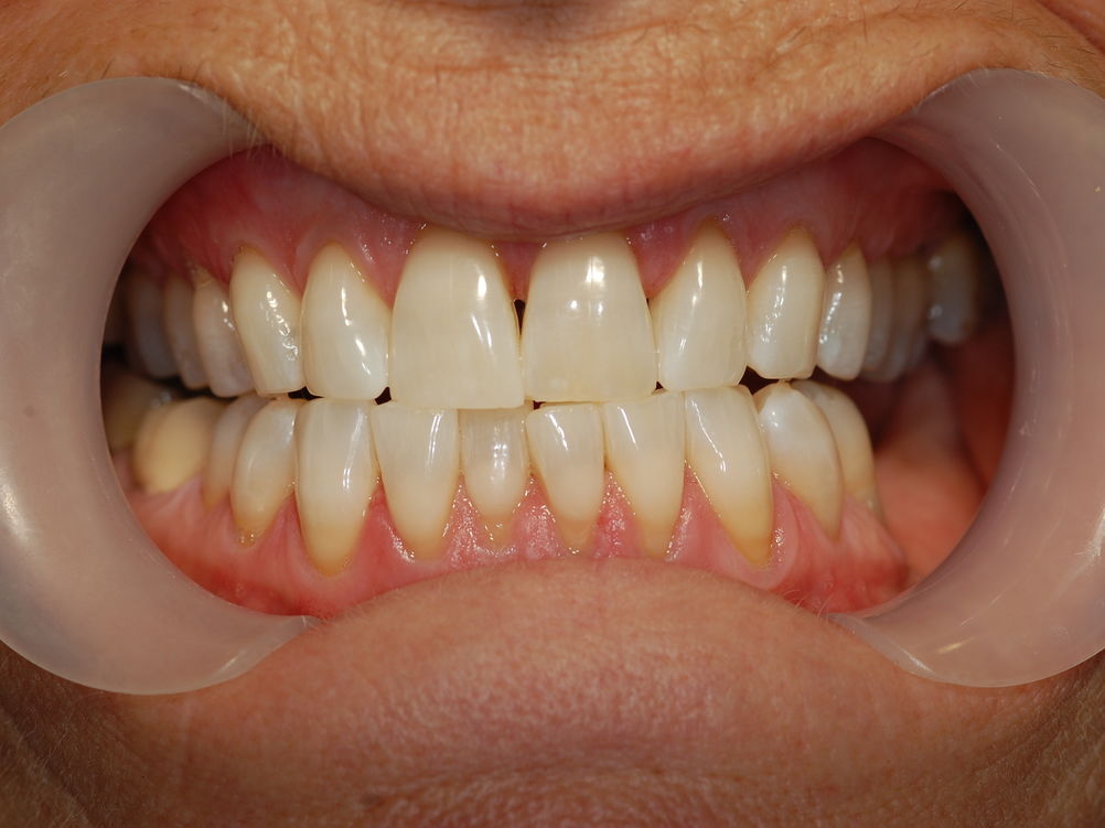
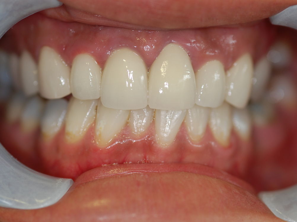
Mrs H - As a child this lady had tetracycline and although not allowed now this did discolour all her teeth. She was never happy with the darkened teeth and so would overbrush her teeth in an attempt to whiten them only to expose more of the underlying dentine and make the teeth darker. Lumineers provided the perfect solution as in this case only minimal preparation was needed and the underlying tooth colour was hidden with block out veneers.

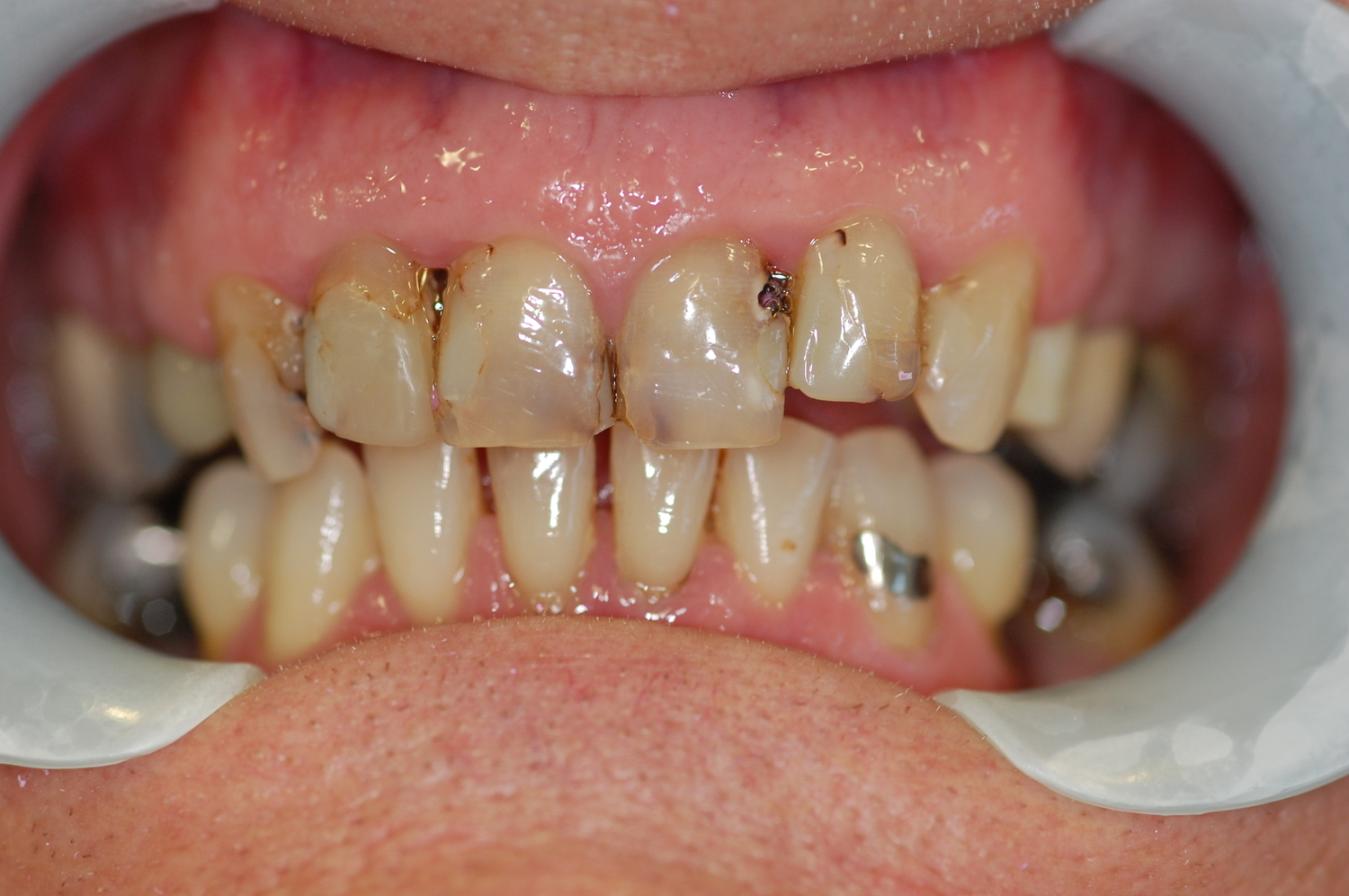
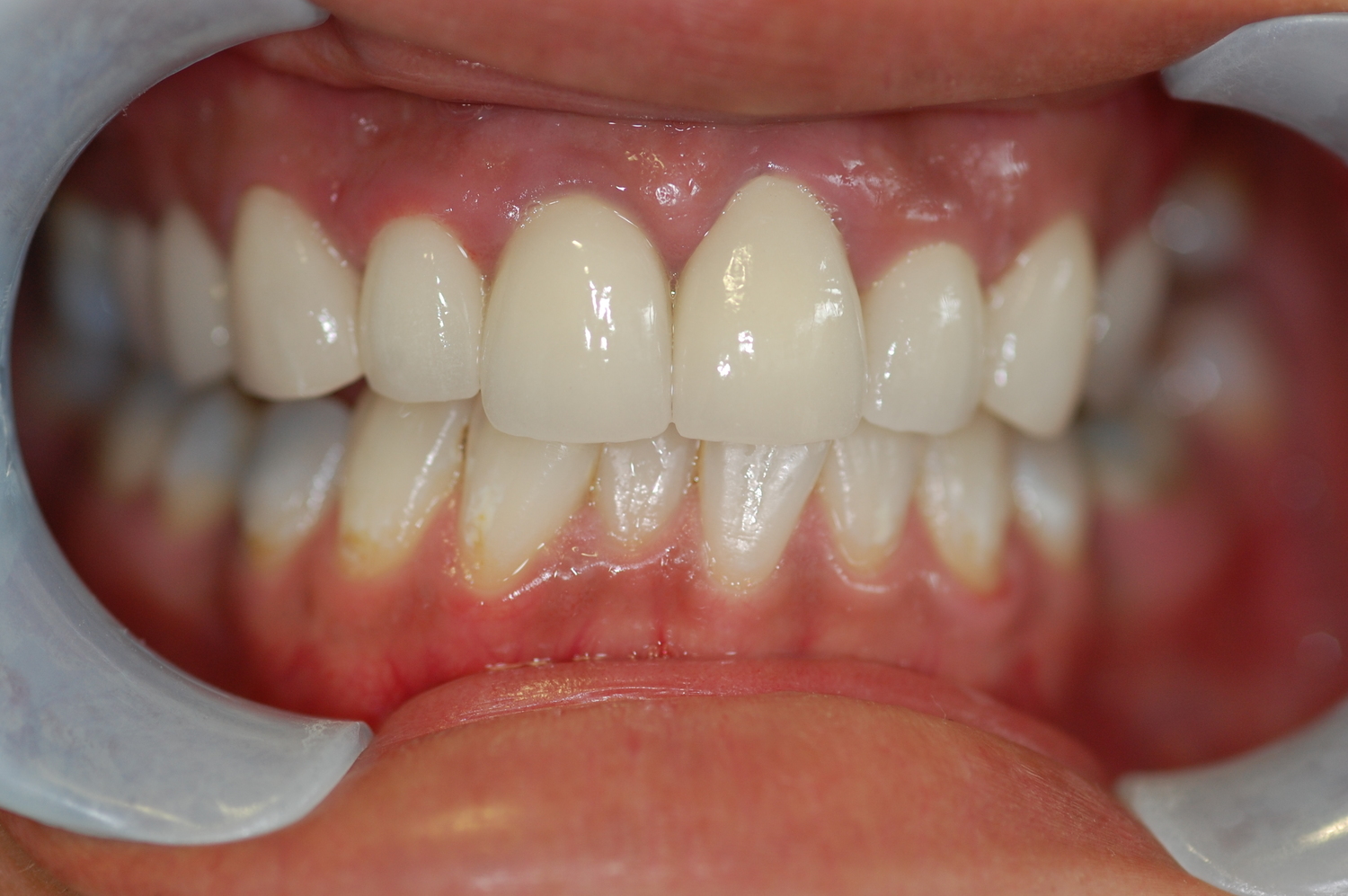
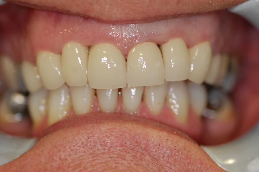
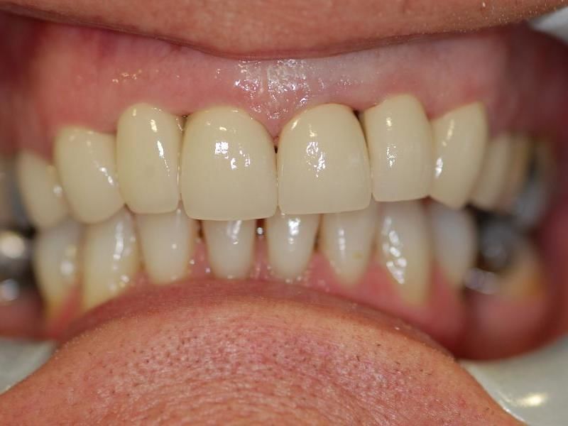
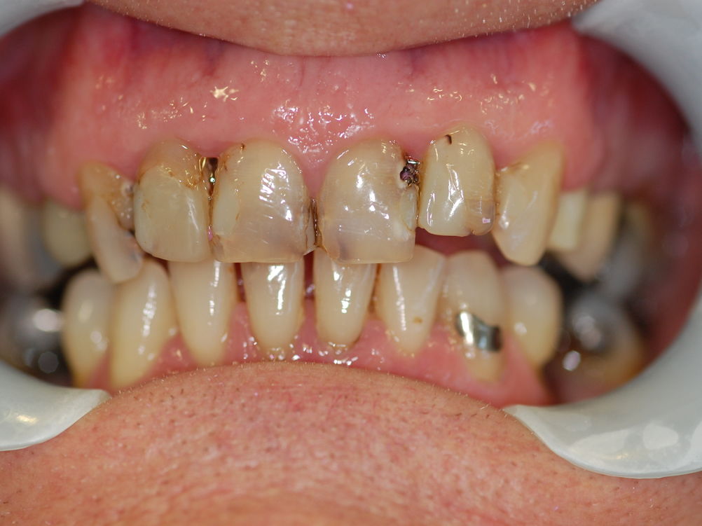
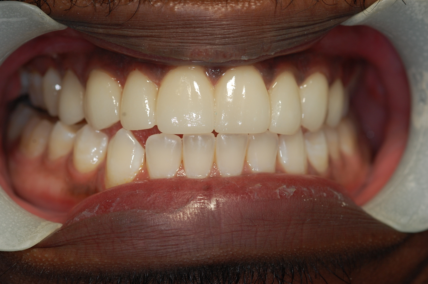
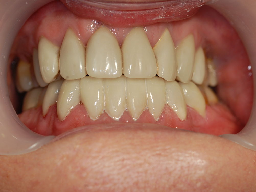
Mr L - This gentleman had composite veneers placed on his teeth in his early teens to close the spaces between his teeth. over the years they became stained and he wanted a more permanent solution and so Lumineers was the ideal solution. I have never seen such a good result with veneers and I think the system is carefully put together to deliver excellent results.

This system we have used for many years because it provides consistent and reliable results.

Enamel Bonding

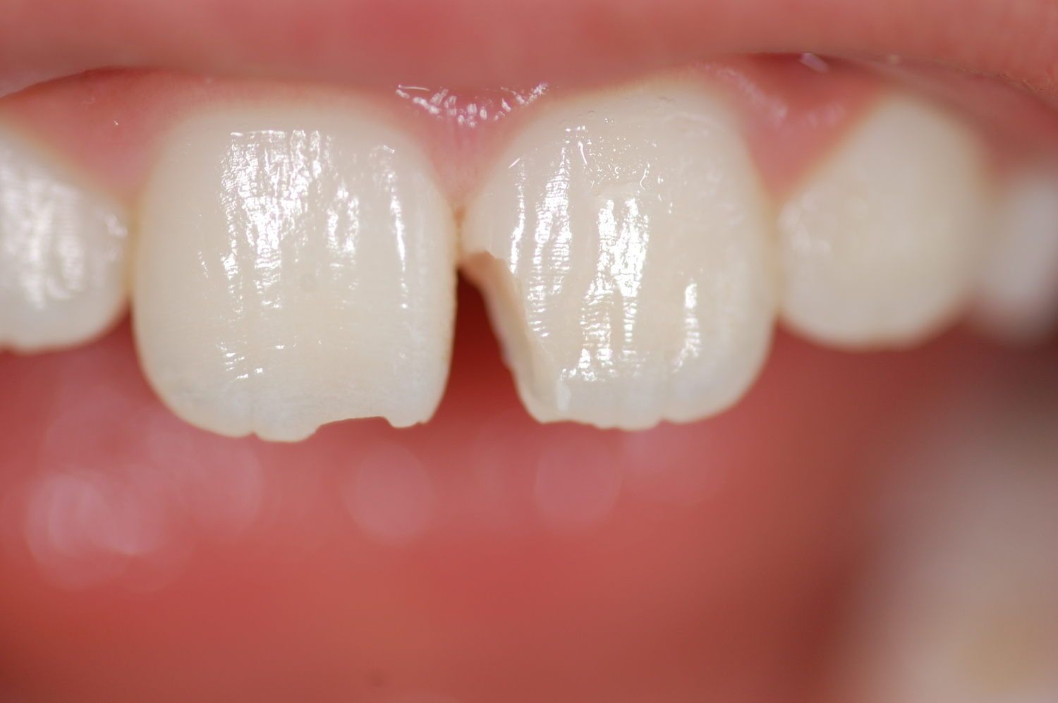
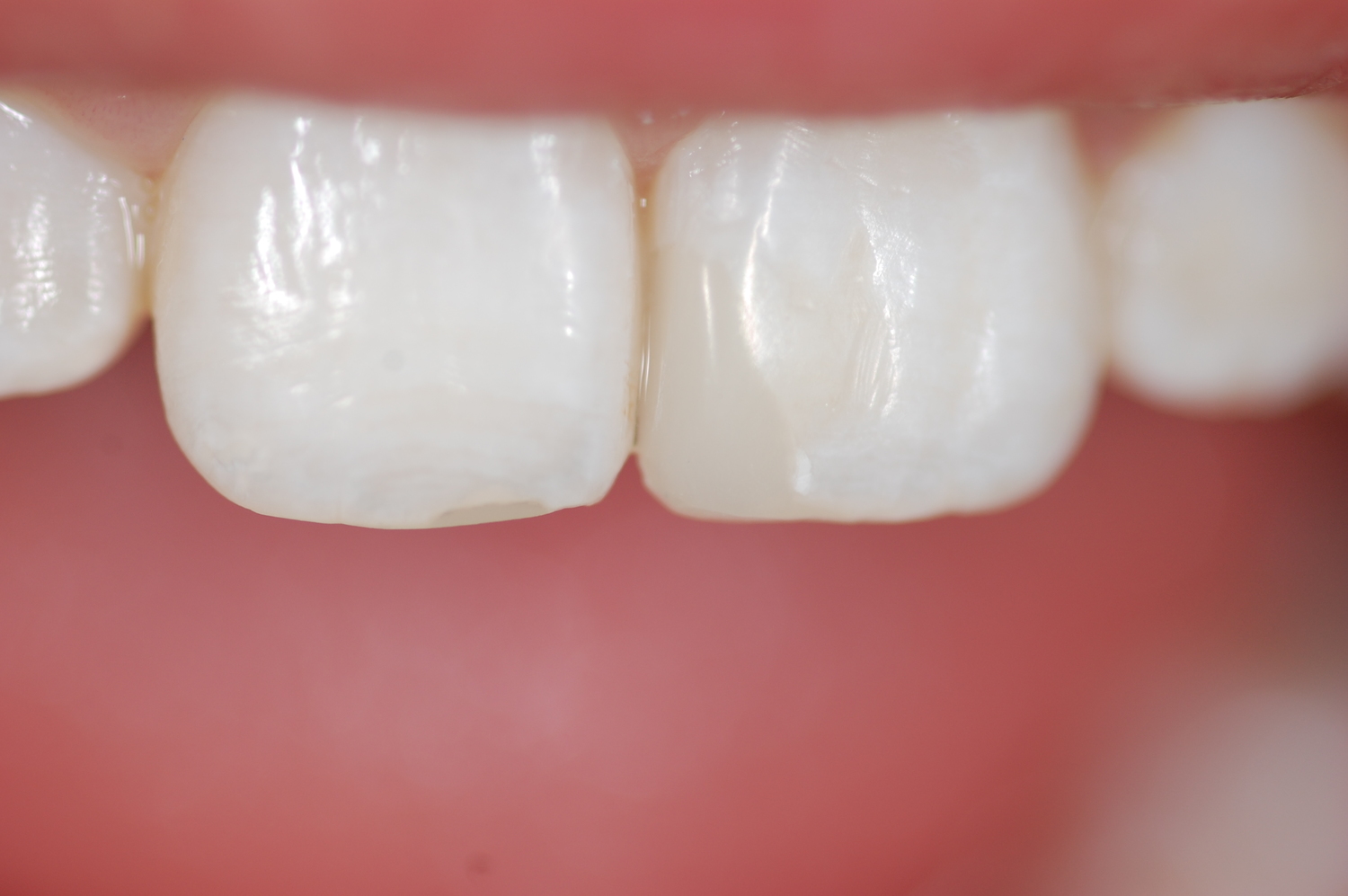
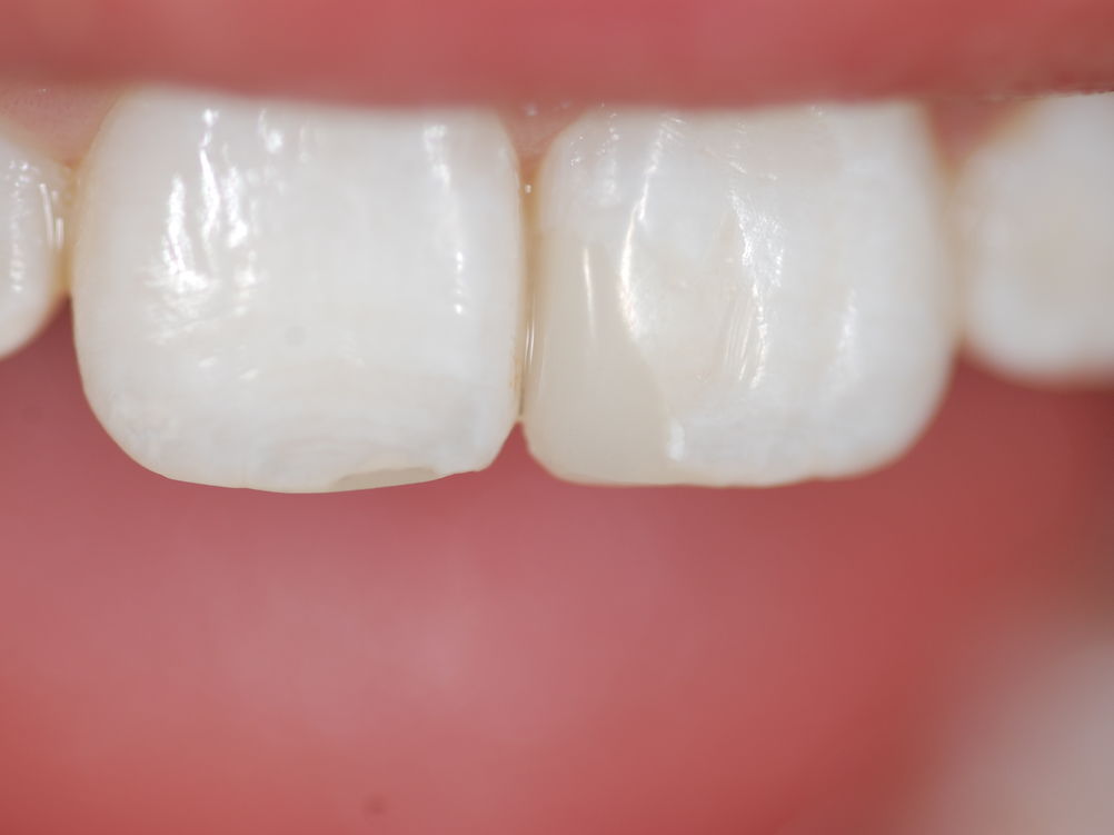
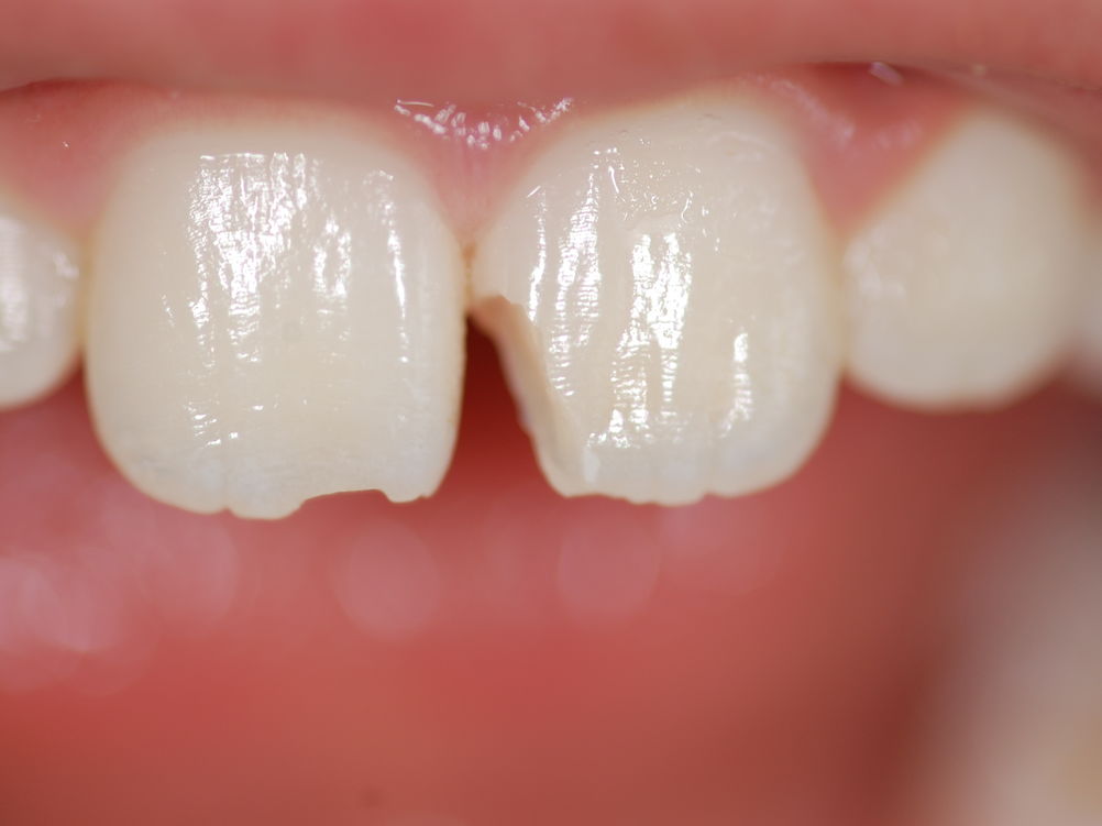
This young boy like many others chipped his front tooth. this was repaired using enamel bonding which can now be achieved due to the technological advances in the adhesive systems. It brings about a simple way to achieve a great result.